What Does Breast Cancer Look Like On A 3D Mammogram : Mammography 3d Mammography Tomosynthesis Densebreast Info Inc : Macrocalcifications, which look like small white dots on a mammogram.
Get link
Facebook
X
Pinterest
Email
Other Apps
What Does Breast Cancer Look Like On A 3D Mammogram : Mammography 3d Mammography Tomosynthesis Densebreast Info Inc : Macrocalcifications, which look like small white dots on a mammogram.. To license this video for patient education or content marketing, visit: The doctor reading your mammogram will be looking for different types of breast changes, such as small white spots called calcifications, larger abnormal areas called masses, and other suspicious areas that could be signs of cancer. This overlapping tissue can cause the resulting image to look like cancer. Microcalcifications, which look like white specks on a mammogram. The tumor cells don't stay within the clear borders of the mass, but instead invade the nearby breast tissue.
Bright spots on a mammogram that look like potential tumors could turn out to be overlapping tissues or a blood vessel folding over on itself, friedewald said. American cancer society, 9 oct 2017. One advantage of ultrasound technology is that it allows substantial freedom in obtaining breast images from any orientation. Specialist doctors (radiologists) trained to interpret mammograms can identify any abnormal areas, masses or calcium. The outer edges of these cells look fuzzy or spiky (called spiculated).
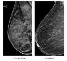
Mammography Wikipedia from upload.wikimedia.org Even if you have a lump in only one breast, pictures will be taken of both breasts. However, in rare cases, breast cancer can be the cause of gynecomastia so, a full mammographic investigation is always necessary. Dense breast tissue appears solid. 1 the gray areas correspond to normal fatty tissue, while the white areas are normal breast tissue with ducts and lobes. This overlapping tissue can cause the resulting image to look like cancer. After a mammogram that didn't show anything, and a sonogram that found the lump, i was diagnosed with stage 2 breast cancer. This is why you should always talk to your doctor if you notice an unexplained change in the size of a breast. We'll show you breast cancer pictures to help you identify any physical traits of the condition.
Several patterns of calcifications are seen with dcis, including:
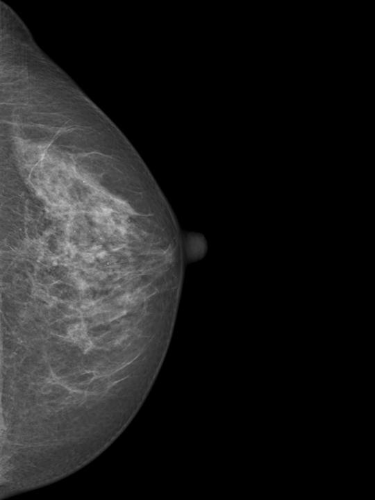
Essentially, mammograms turn a 3d object into a 2d object. This is why you should always talk to your doctor if you notice an unexplained change in the size of a breast. What does the doctor look for on a mammogram? cancer.org. A screening mammogram is performed at regular intervals to check for breast cancer in women who have no signs or symptoms of the disease. Bright spots on a mammogram that look like potential tumors could turn out to be overlapping tissues or a blood vessel folding over on itself, friedewald said. To license this video for patient education or content marketing, visit: What does breast cancer look like? This overlapping tissue can cause the resulting image to look like cancer. Finding breast lumps and seeing change in the size and shape. Screening mammograms have been used since the 1980s. Digital breast tomosynthesis (tomo), also known as 3d mammography, is a revolutionary new screening and diagnostic breast imaging tool to improve the early detection of breast cancer. Ultrasound characterization of breast masses. indian journal of radiology and imaging. Calcifications are calcium deposits within the breast tissue and they look like small white spots.
What does breast cancer look like? It appears to be developing in a concentric pattern. The most common presentation of dcis on mammography involves the appearance of calcifications. American cancer society, 9 oct 2017. To license this video for patient education or content marketing, visit:
Automatic Breast Ultrasound State Of The Art And Future Perspectives Ecancer from ecancer.org It appears to be developing in a concentric pattern. The tumor cells don't stay within the clear borders of the mass, but instead invade the nearby breast tissue. Normal breast tissue can look 100,000 different ways on a mammogram. A screening mammogram is performed at regular intervals to check for breast cancer in women who have no signs or symptoms of the disease. This includes mammography, ultrasound and breast mri. Diagnostic mammograms involve taking more views than screening mammograms. However, 3d allows us to 'slice through' the breast, making thin sections, like on a ct scan. It's so important to listen to the messages our bodies are telling.
It appears to be developing in a concentric pattern.
Moose & doc breast cancer, 21 may 2018. We'll show you breast cancer pictures to help you identify any physical traits of the condition. Normal breast tissue can look 100,000 different ways on a mammogram. Finding breast lumps and seeing change in the size and shape. Dense breast tissue appears solid. Essentially, mammograms turn a 3d object into a 2d object. American cancer society, 9 oct 2017. That makes it easy to detect abnormalities, which generally show up as white. A 3d mammogram is used to look for breast cancer in people who have no signs or symptoms. More importantly, the overlap can obscure small breast cancers. A screening mammogram is performed at regular intervals to check for breast cancer in women who have no signs or symptoms of the disease. Several patterns of calcifications are seen with dcis, including: Breast cancer and some noncancerous (benign) breast conditions can appear white on a mammogram.
This includes mammography, ultrasound and breast mri. Microcalcifications, which look like white specks on a mammogram. American cancer society, 9 oct 2017. The outer edges of these cells look fuzzy or spiky (called spiculated). Finding breast lumps and seeing change in the size and shape.
More Breast Cancers Detected With 3d Mammography National Breast Cancer Foundation Nbcf Donate Online from 1o2l7w1aqqrk1f987e40vzis-wpengine.netdna-ssl.com This overlapping tissue can cause the resulting image to look like cancer. Several patterns of calcifications are seen with dcis, including: The look of breast cancer on a mammogram a tumor or lump will appear as a focused white area on the mammogram. Most screening mammograms include two views of each breast taken from different angles. Specialist doctors (radiologists) trained to interpret mammograms can identify any abnormal areas, masses or calcium. What does breast cancer look like on a mammogram? A tumor that is benign, it is not a health problem and it may not grow or change shape. Ultrasound characterization of breast masses. indian journal of radiology and imaging.
A diagnostic mammogram is used to check for breast cancer when there is a sign or symptom of disease.
Breast cancer and some noncancerous (benign) breast conditions can appear white on a mammogram. This overlapping tissue can cause the resulting image to look like cancer. Diagnostic mammograms involve taking more views than screening mammograms. It's so important to listen to the messages our bodies are telling. A number of studies have found that 3d mammograms find more cancers than traditional 2d mammograms and also reduce the number of false positives. Ultrasound characterization of breast masses. indian journal of radiology and imaging. Even if you have a lump in only one breast, pictures will be taken of both breasts. Finding breast lumps and seeing change in the size and shape. 1 the gray areas correspond to normal fatty tissue, while the white areas are normal breast tissue with ducts and lobes. A false positive is when a mammogram shows an abnormal area that looks like a cancer but turns out to be normal. Breast cancer can appear as a spiculated mass, cluster of tiny calcifications, smoothly marginated mass, area of subtle distortion or be invisible on. Macrocalcifications, which look like small white dots on a mammogram. One advantage of ultrasound technology is that it allows substantial freedom in obtaining breast images from any orientation.
How To Make Source Cards Mla / Mla Format Research Paper Source Card Instructions Mla 7th Ed By Acmorales / It's super easy to create mla style citations with our mla citation generator. . When citing a newspaper article found on a database. (mla.).put each source.com/?expert=morgan.search for your source 2.if you are using note cards, make a separate bibliography card for each source. At the top of each note card, write the number of the source, so Keep the same amount of words and the same meaning; Bibliography cards assist with writing the works cited page at the end of your paper. Only pull out the main idea or facts and put it in your own words. The goal of this system is to include references in the essay or research paper and to make them as brief as possible. A citation for a book in mla format, for example, looks as follows: Begin the entry with the author's last name, followed by a comma and the rest of the name. They are the backbone of your paper...
Toko online distributor alat kesehatan, laboratorium, & rumah sakit untuk daerah jakarta, bandung, surabaya, jogja & seluruh indonesia. Bimbingan belajar airlangga sosial eksakta surabaya; Abstrak—penerapan sistem penilaian kinerja kepada dosen menuntut pelaporan yang akuran dan cepat khususnya pada aspek pendidikan dan pengajaran yang merupakan salah satu aspek tridharma peerguruan tinggi, pada proses pelaporan tersebut jurnal Bidang ilmu yang mempelajari alat musik disebut; 13.11.2021 · dikatakan, xl axiata wearable device merupakan perangkat yang mengukur kondisi kebugaran tubuh seperti detak jantung, ekg, pola pernafasan, suhu tubuh, langkah, dan kalori pada saat yang bersamaan. Perkiraan Biaya Persalinan Pasien Pribadi Dokter Mitra Rumah Sakit Santo Borromeus Bandung Tahun 2020 Josuamarcelc from josuamarcelc.com Bimbingan bela...
What Causes Breast Cancer After Menopause : Breast Cancer In Lean Postmenopausal Women Might Have Specific Pathological Features In Vivo / Expert quote menopause on top of a breast cancer diagnosis can be more than a major disruption. . Managing postmenopausal breast pain consists of: It is linked to a higher risk of abnormal vaginal bleeding. However, some of the treatments for breast cancer can make these symptoms worse. Because vaginal bleeding after menopause can be a symptom of endometrial cancer, this often leads to further testing. During a woman's menstrual cycle, estrogen stimulates the uterus and breast tissue. Hormonal changes are the main cause of cyclic soreness of breasts. Though menopause itself does not cause breast cancer, the chance of developing breast cancer increases the older you get. Based on the whi study, taking ept is linked to a higher risk of breast cancer. Find out how to manage the effects. Lisa vance with her daughter, kayla. ...
Comments
Post a Comment